患者さん一人一人に合った治療法を第一に考え、
皆さまに安心と信頼を提供します。
休診日:日曜日、祝日

白い歯できれいな歯並びで、自信をもった素敵な笑顔をいつまでも…
自分の歯や口元の美しさに自信をもつことができれば、あなたの生活に大きな影響を与えるのではないでしょうか。
審美治療には、表面的(見た目)な美しさと機能的な快適さ、美しさがあります。
「表面的な美」「機能的な美」どちらの側面も、口元には大切な要素です。当医院はどちらか一つにとらわれるのではなく、二つの側面から審美治療をおこなっております。
インレーとは虫歯を削り取った後の歯に埋める詰め物のことです。インレー(詰め物)には従来アマルガムや金属が使用されてきましたが、黒く目立ち、見た目にはよくありませんでした。セラミックを使用することにより治療箇所が目立たず、非常に健康的に見えます。
ハイブリッド・セラミックスは、セラミックの持つ審美性と耐久性、硬質レジンの操作性をあわせ持った材質です。 そして対合歯に優しく天然歯と同じように磨耗をします。 奥歯に金属の詰め物、被せ物がされていたり、これからする際に金属が気になる場合に使用します。セラミックより安価でできますが、見映えがセラミックよりやや劣ります。
クラウンとはむし歯を削り取った後の歯を全体的に覆う被せ物です。ブリッジとは、欠損歯を両側の歯を支えにして修復する治療方法です。セラミックを使用することで金属や歯科用プラスティックでは得られない透明感のある白い歯の輝きを取り戻すことが出来ます。治療後の虫歯や歯周病の再発にもセラミックを用いた方法のほうが 有利であるとお考え下さい。
ベニアとは、歯の修復箇所に貼り合わせるセラミックの薄片のことです。歯の色がくすんでいる場合、事故などで歯の一部が欠けた場合、軽度の歯列不正がある場合には 、歯をあまり削らなくてすむラミネートベニア法が最適です。歯の表側をほんのわずか(0.5ミリ程度)だけ削って、そこに薄いセラミックを貼り合わせる治療方法です。
歯を削る量が少なくてすみますが、削り方、シェルの作成、接着に非常に高度な技術が必要です。ラミネートベニアは基本的に上顎の前歯のみに適用されます。歯の色が濃い場合はホワイトニング、歯の位置が悪い場合は矯正治療を併用しないと思ったような効果がでないことがあります。
当院が採用している「NITEホワイト・エクセル」は歯科医師により作られた透明なマウストレイにNITEホワイト・エクセルジェルを1日あたり最長2時間使用することにより、右図のような白い歯に個人差によりますが2週間程度ですることができます。過酸化尿素が主成分で厚生労働省から認可を受けたホワイトニングです。
・自宅でゆっくりしながら使用できる
・再着色しにくい
・効果が出るまで1ヶ月ほどかかる
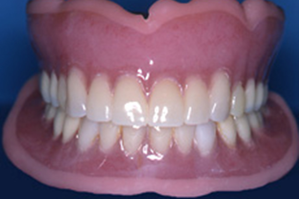
何度作り直しても痛みが取れない、食べ物をかみ砕くときに歯グキが痛い。話をしているとはずれやすい。そんな悩みを解消するためバイオシリコンを使ったやわらかい入れ歯(右写真)ができました。
■特徴
・ 精度がいいことでお口にピッタリと合います。
・クッション効果により噛みしめることができます。
・粘膜だけでなく粘膜下組織にも優しい素材です。
・いつまでもやわらかい素材です。
・平均3年以上はお使いいただけます。
ノンクラスプデンチャーは従来のレジン(プラスチック)ではなくスーパーポリアミドナイロンでできた樹脂を使うことにより、気になる金属フレームやバネのない薄くて軽い精度の高い入れ歯を制作することができます。金属アレルギーの人も安心。審美性に優れているので自信を持って会話したり思い切り笑えるようになりました。